Reabilitare Estetică și Funcțională: Redescoperirea unui Zâmbet Tânăr
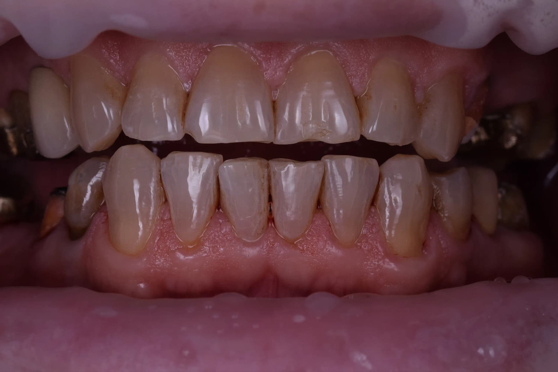
Pacientul s-a prezentat în clinica noastră nemulțumit de aspectul general „îmbătrânit” al zâmbetului. Fotografia inițială relevă o dantură afectată de trecerea timpului, cu o culoare neuniformă și semne vizibile de neglijență a igienei orale în trecut. Obiectivul a fost nu doar îmbunătățirea estetică, ci și restabilirea sănătății orale complete, pornind de la o bază solidă.
Provocarea
Principala dificultate a acestui caz a constat în gestionarea uzurii dentare accentuate (tocirea marginilor incizale), vizibilă în special la dinții frontali inferiori, combinată cu discromii (pete) profunde și prezența tartrului. De asemenea, existența unor lucrări protetice vechi (vizibile în zonele laterale) și a obturațiilor neadaptate a necesitat o abordare complexă, care să armonizeze dinții naturali cu noile restaurări.
Soluția Noastră
Am abordat cazul printr-un plan de tratament etapizat. Primul pas a fost asanarea cavității bucale printr-o igienizare profesională riguroasă (detartraj și airflow) pentru a elimina inflamația gingivală. Ulterior, am optat pentru un protocol de estetică dentară care a inclus albirea dinților și restaurarea morfologiei pierdute folosind [aici poți specifica: fațete ceramice / compozit stratificat / coroane integral ceramice], înlocuind totodată vechile lucrări inestetice cu materiale biocompatibile de ultimă generație.
Rezultat
Finalul tratamentului a adus o transformare spectaculoasă. Pacientul se bucură acum de un zâmbet luminos, cu dinți aliniați armonios și cu o formă naturală refăcută. Am reușit să „ștergem” ani buni de pe chipul pacientului prin corectarea liniei zâmbetului și eliminarea aspectului de dinți tociți, oferindu-i un aspect întinerit și o funcționalitate impecabilă a mușcăturii.

