Rejuvenare Dentară Minim Invazivă: Corectarea Uzurii și Redobândirea Strălucirii
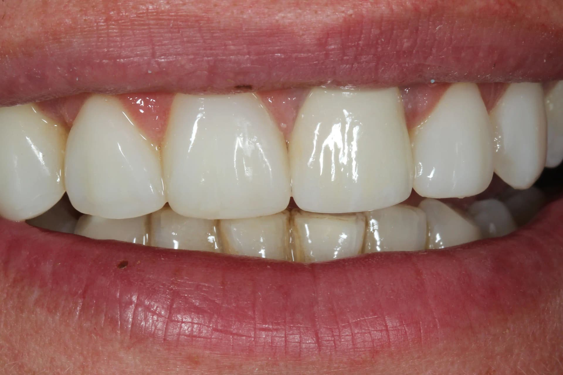
Pacientul s-a prezentat la clinică dorindu-și o reîmprospătare a zâmbetului, care începuse să arate semne de oboseală și îmbătrânire prematură. Fotografia inițială evidențiază o dantură afectată de uzură dentară (atriție), vizibilă prin scurtarea, tocirea și aplatizarea marginilor dinților frontali, atât la maxilar, cât și la mandibulă. De asemenea, culoarea era ternă, iar zonele interdentare prezentau colorații care afectau aspectul îngrijit.
Provocarea
Principala provocare a acestui caz a fost restaurarea morfologiei (formei) pierdute a dinților într-un mod complet nedetectabil. Incisivii inferiori prezentau muchii drepte, inestetice, specifice bruxismului sau vârstei. Obiectivul a fost reconstrucția milimetrică a acestor margini pentru a reda transluciditatea și conturul natural al unui dinte tânăr, păstrând în același timp vitalitatea și integritatea structurii dentare existente.
Soluția Noastră
Am optat pentru o abordare conservatoare, "no-prep" (fără șlefuire). Planul a început cu o igienizare profesională și un protocol de albire dentară pentru a deschide nuanța naturală a dinților. Ulterior, am folosit tehnica de remodelare prin adiție de compozit (bonding stratificat). Folosind materiale compozite de ultimă generație, cu proprietăți optice similare smalțului, am reconstruit "edge-to-edge" marginile tocite, redând lungimea și forma anatomică ideală fiecărui dinte în parte.
Rezultat
Rezultatul final este spectaculos prin naturalețea sa. Zâmbetul este vizibil întinerit, mai luminos și armonios. Prin simpla refacere a muchiilor incizale și curățarea petelor, dinții par mai lungi, mai sănătoși și perfect îngrijiți. Este exemplul perfect de tratament rapid, fără durere, cu impact estetic maxim și sacrificiu biologic zero.

