Reabilitare Orală Completă: Armonie Funcțională și Estetică Naturală
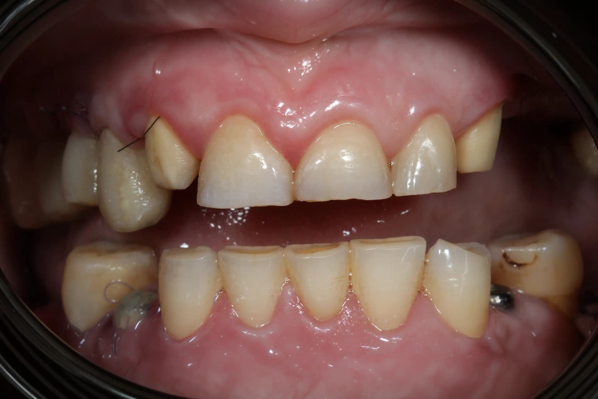
Pacienta s-a prezentat în clinică pentru refacerea funcției masticatorii afectate de pierderea dinților în zonele laterale și pentru îmbunătățirea funcției estetice afectate de abraziunea dinților din zona frontală. S-a realizat o reabilitare orală completă prin coroane din oxid de zirconia pe dinți și implanturi, fațetări directe din compozit.

