Zâmbet Reconstruit: Corectarea Traumatismelor și Edentațiilor printr-o Reabilitare Totală
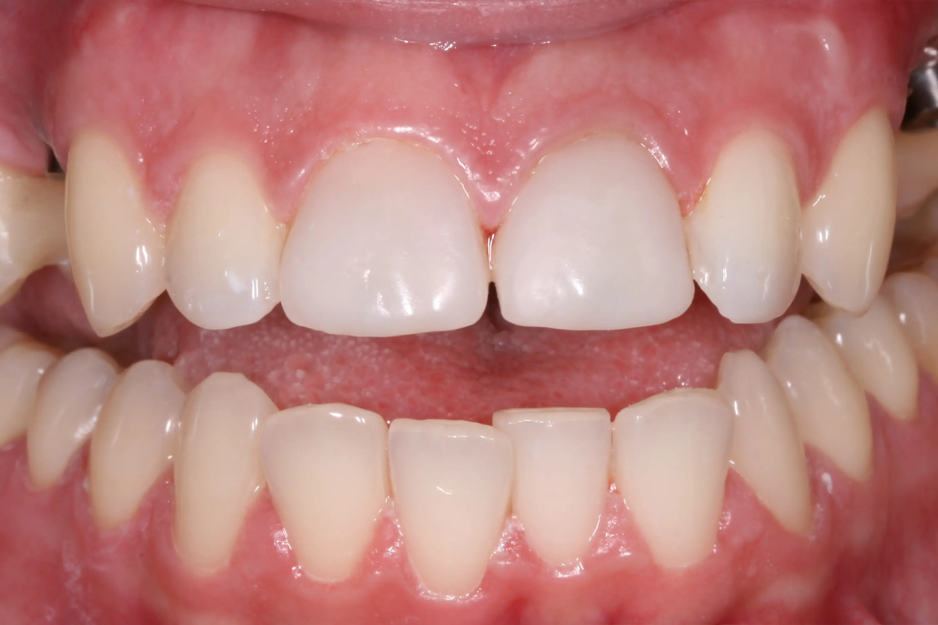
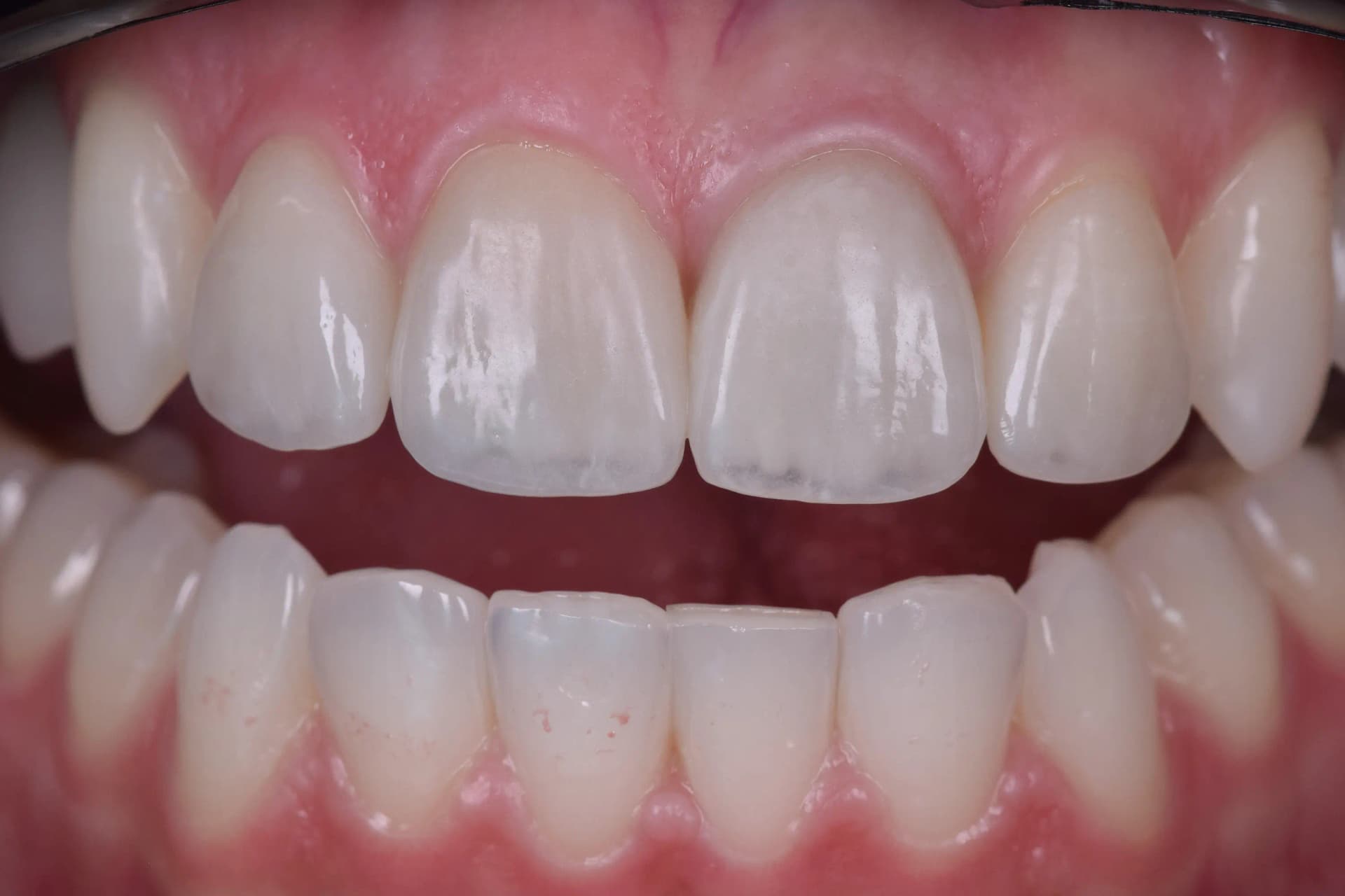
Principalul motiv pentru care pacienta s-a adresat clinicii a fost îmbunătățirea funcției estetice afectate de multiplele edentații din zona maxilară și de aspectul dinților frontali maxilari reconstruiți în copilărie în urma unui traumatism. Reabilitare totală prin tratament ortodontic, coroane de ceramică pe suport de oxid de zirconia pe implanturi, coroane, fațete din ceramică, fațetări directe din compozit.

