Reabilitare Orală Completă: Armonie Funcțională și Estetică Naturală
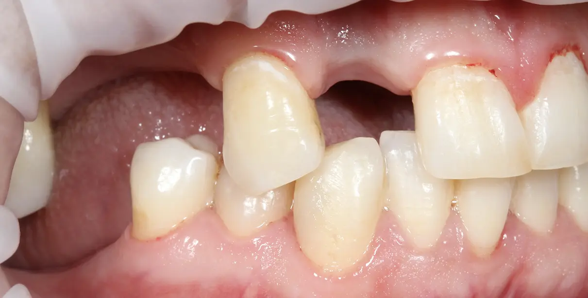
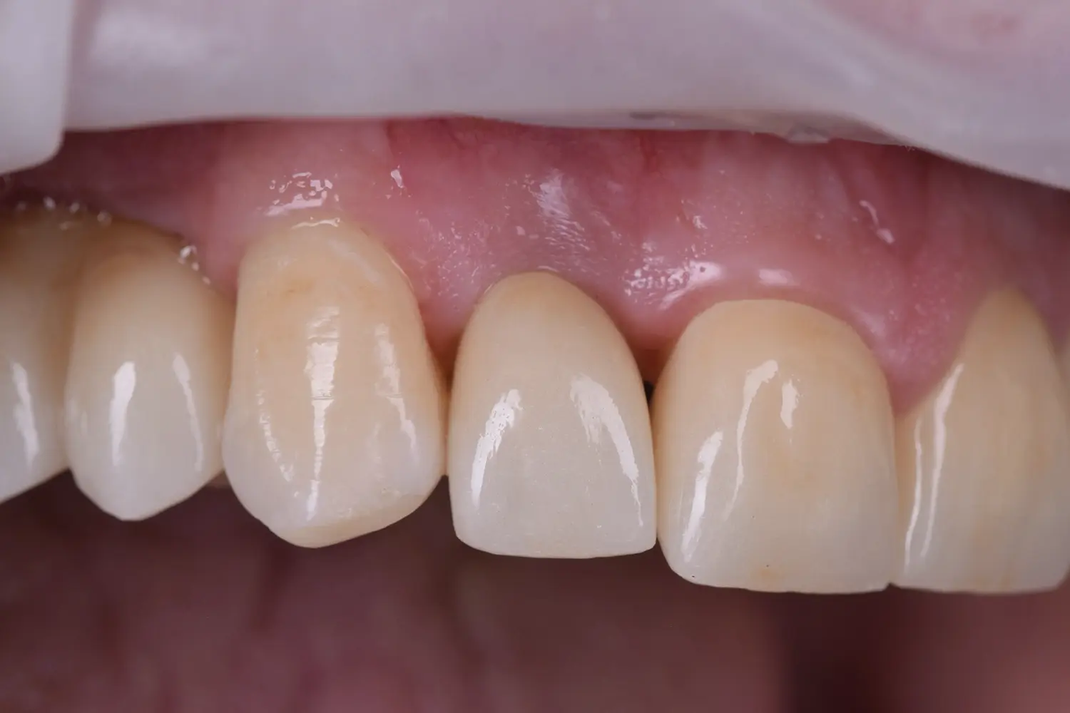
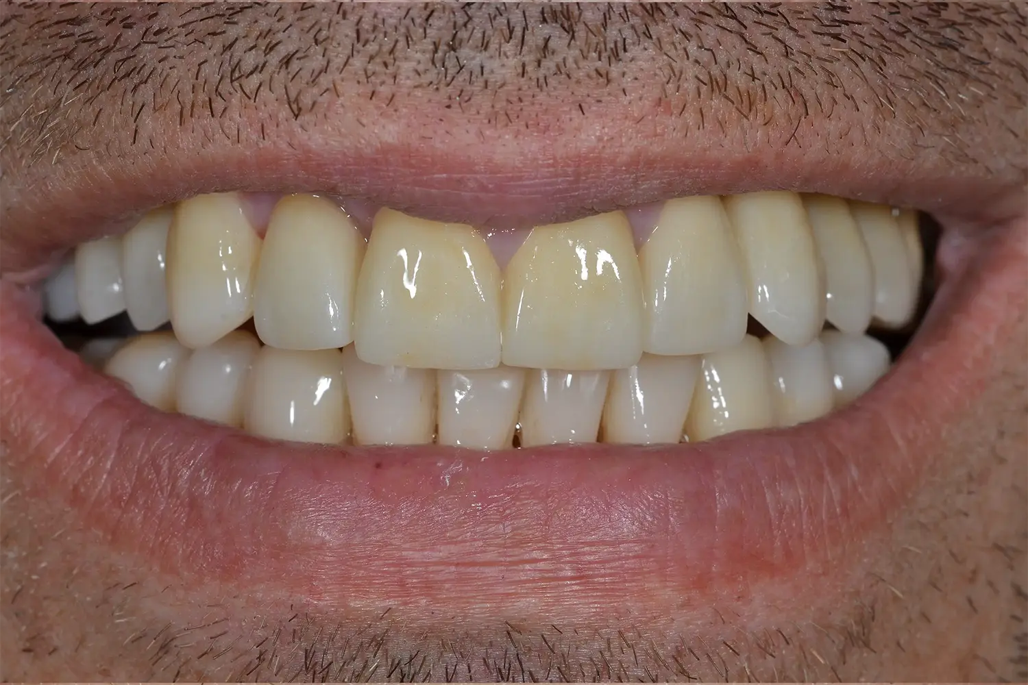
Pacientul s-a prezentat în clinică pentru reabilitare funcțională și estetică. Reabilitare totală realizată prin coroane din oxid de zirconia pe dinți și implanturi, fațetări directe din compozit.

