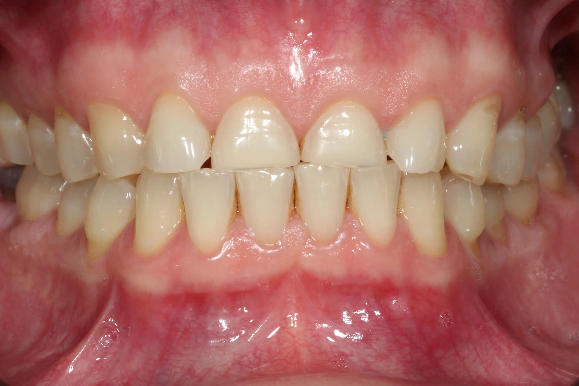
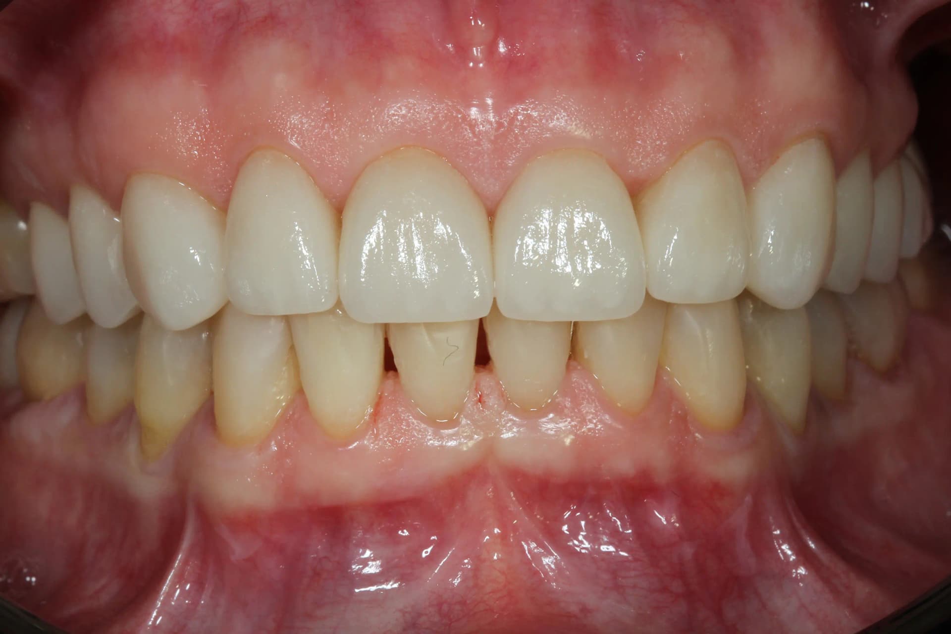
Reabilitare Totală: Uzură Dentară Generalizată
Pacientul s-a prezentat în clinică pentru reabilitarea funcției estetice și masticatorii, ambele afectate de gradul accentuat de uzură dentară generalizată. Pentru arcada maxilară s-au realizat coroane integral ceramice pentru zona anterioară și coroane de oxid de zirconia integral pentru zonele laterale pe dinți și implanturi . La mandibulă s-au realizat fațetări directe din compozit și o coroană din zirconia integral pe un implant în zona laterală.

